Position:Home >
对乙酰氨基酚诱导小鼠肝损伤模型
对乙酰氨基酚诱导小鼠肝损伤模型
Background
coming soon……
Materials and methods
造模:Balb/c小鼠适应性饲养1周,口服灌胃对乙酰氨基酚连续两周建立肝损伤模型。
阳性药物:甘草酸二胺肠溶胶囊
阳性药物:甘草酸二胺肠溶胶囊
Test and verify
1.造模过程
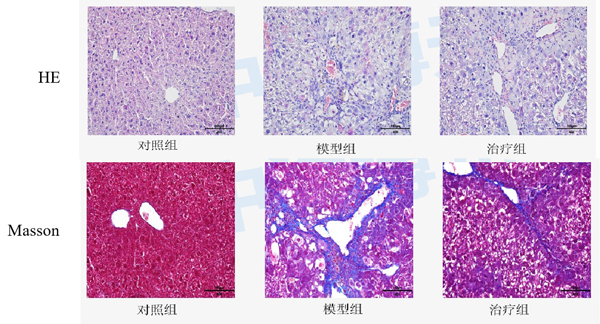
2.模型验证

正常组结构正常,无明显病变;模型组可见明显的炎性细胞集聚,充血、出血现象,肝损伤明显,甚至出现纤维化;治疗组炎性细胞浸润减少,肝损伤与肝纤维化均有所改善,治疗有一定效果。