Position:Home >
Renal Failure Anemia Model
Renal Failure Anemia Model
Background
Renal anemia is a common end-stage outcome of various chronic kidney diseases, ranking as the fifth to ninth leading cause of death. It remains a hotspot and challenge in medical research. The animal model of renal anemia generated by high-concentration adenine administration exhibits pathological changes closely resembling those in humans, making it the most commonly used method for establishing renal anemia models in animals.
Materials and methods
Experimental animals: SD rats, 7 weeks old, male, body weight 180–220 g
Model Preparation Method: The model group received adenine solution via continuous gastric lavage at 10 ml/kg for 9 days, followed by 9 additional lavages at 1-day intervals, totaling 27 days, to establish a rat model of renal anemia.
Evaluation Criteria: Gross examination; Body weight and kidney index; Complete blood count; Renal tissue HE staining; Serum renal function markers
Model Preparation Method: The model group received adenine solution via continuous gastric lavage at 10 ml/kg for 9 days, followed by 9 additional lavages at 1-day intervals, totaling 27 days, to establish a rat model of renal anemia.
Evaluation Criteria: Gross examination; Body weight and kidney index; Complete blood count; Renal tissue HE staining; Serum renal function markers
Test and verify
肾脏大体观察
体重和肾脏指数

血清肾功能指标
血常规
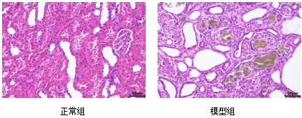
肾脏组织HE