Position:Home >
Alcoholic Gastric Ulcer Model
Alcoholic Gastric Ulcer Model
Background
Gastric ulcer is one of the most common diseases of the human digestive system, with both its incidence and prevalence continuing to rise worldwide. Gastric ulcers primarily occur in the lesser curvature of the gastric antrum and the nasal sinus, typically resulting from self-digestion of the gastrointestinal mucosa by gastric acid or pepsin.
Materials and methods
Experimental animals: Rats, male
Housing: SPF environment, standard housing conditions, no special dietary requirements.
Pre-molding treatment: The experiment can commence after one week of acclimation.
Molding process: The model group received a single oral administration of anhydrous ethanol (5 mL/kg).
Post-molding care: No special care required.
Housing: SPF environment, standard housing conditions, no special dietary requirements.
Pre-molding treatment: The experiment can commence after one week of acclimation.
Molding process: The model group received a single oral administration of anhydrous ethanol (5 mL/kg).
Post-molding care: No special care required.
Test and verify
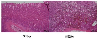
胃组织观察

HE染色
模型组样本均可见黏膜层大量出血现象,存在一定程度炎性细胞浸润,同时可见黏膜上皮细胞严重受损,出现溶解现象,形成局部溃疡。
血清ELISA



