Position:Home >
高岭土诱导脑积水模型
高岭土诱导脑积水模型
Background
通过导致蛛网膜下腔因无菌性炎症而黏连闭锁, 从而在第四脑室出口水平以上阻塞脑脊液的循环通路, 其发生机制与临床上因颅内感染、出血而形成脑积水的机制相似。
Materials and methods
SD大鼠(雌雄不限,6~8周龄;体重180~200 g)
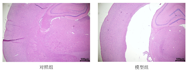
造模方法:使用立体定向仪进行脑室穿刺,模型组在脑基底池注入高岭土混悬液。对照组给予同样的生理盐水。造模后第28天进行模型验证。
评价指标:体重变化、大体观察、HE染色
造模方法:使用立体定向仪进行脑室穿刺,模型组在脑基底池注入高岭土混悬液。对照组给予同样的生理盐水。造模后第28天进行模型验证。
评价指标:体重变化、大体观察、HE染色
Test and verify
体重变化

脑组织大体观察

脑组织HE染色
