Position:Home >
双侧卵巢摘除诱导萎缩性阴道炎模型
双侧卵巢摘除诱导萎缩性阴道炎模型
Background
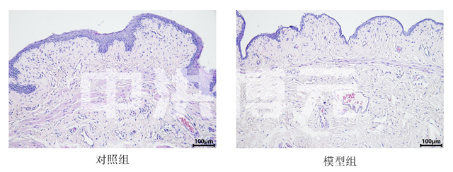
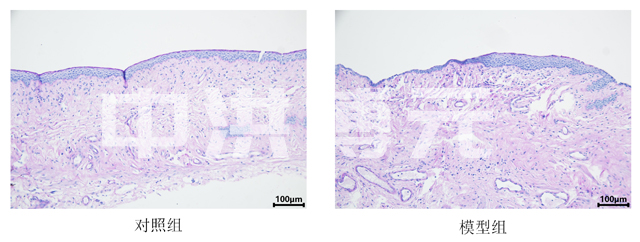
对育龄大鼠采取卵巢摘除术,使其卵巢功能丧失,构造萎缩性阴道炎大鼠模型。造模后,大鼠阴道 pH 值明显升高,阴道、子宫体重指数显著降低,血清 E2 水平下降,FSH、LH 水平显著升高,说明造模后大鼠生殖器萎缩、性激素水平紊乱,该模型能够模拟萎缩性阴道炎的病理状态。
Materials and methods
造模:SD大鼠(雌性,3月龄,200-250 g),结扎双侧输卵管后,摘除左右两个卵巢。术后第5天起,进行阴道涂片检查,1次/天,连续5天,以不出现动情期反应为手术成功。此后再喂养20天进行模型验证。假手术组同样行手术切口,找到卵巢但不切除。
Test and verify
阴道黏膜大体观察

血清ELSIA检测

阴道涂片

阴道黏膜HE染色

阴道黏膜PAS染色
