Position:Home >
输尿管结扎联合菌液灌注诱导急性肾盂肾炎模型
输尿管结扎联合菌液灌注诱导急性肾盂肾炎模型
Background
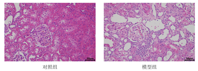
人类肾盂肾炎的致病菌以大肠埃希菌最多,逆行性感染是最常见的传染途径。大鼠容易发生尿液自发性反流,易于造成逆行性感染,采用一侧输尿管暂时性阻塞、膀胱内注射大肠埃希菌造成的急性逆行性肾盂肾炎模型,从致病菌、传染途径和病理学改变等方面均与人类急性肾盂肾炎相似。大鼠模型制作方法简单,重复性好,是研究人类肾盂肾炎合适的动物模型。而且模型中左肾增大,病变明显,而右肾无明显改变,故可作自身对照。
Materials and methods
SD大鼠(雄性,250 g)
造模方法:暴露左侧输尿管及膀胱,在输尿管中段水平进行结扎,随后膀胱内注射菌液,24 h后拆线解除输尿管结扎, 术后恢复正常饮水。1周后成功制备急性肾盂肾炎模型。
评价指标:大体观察、HE染色、ELISA检测
造模方法:暴露左侧输尿管及膀胱,在输尿管中段水平进行结扎,随后膀胱内注射菌液,24 h后拆线解除输尿管结扎, 术后恢复正常饮水。1周后成功制备急性肾盂肾炎模型。
评价指标:大体观察、HE染色、ELISA检测
Test and verify
肾脏大体观察

肾组织HE染色
血清ELISA检测
