Position:Home >
乙醛酸腹腔注射诱导草酸钙肾结石模型
乙醛酸腹腔注射诱导草酸钙肾结石模型
Background
乙醛酸是草酸的前体物质,经小鼠腹腔吸收进入血液循环,在小鼠肝脏内经乙醛酸氧化酶作用下合成草酸,导致小鼠体内草酸水平升高,过量的草酸与体内钙离子相互结合后可形成草酸钙结晶。
Materials and methods
C57小鼠(雄性,18~22 g)
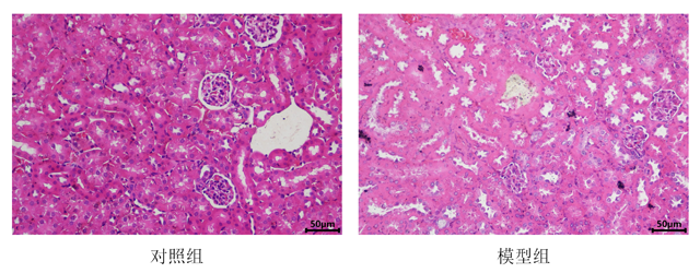
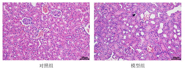
造模方法:腹腔注射诱石剂-乙醛酸,对照组给予等量生理盐水进行平行操作。连续14 d后成功制备肾结石模型。
评价指标:体重变化及存活率、生化检测及肾体比、病理染色
造模方法:腹腔注射诱石剂-乙醛酸,对照组给予等量生理盐水进行平行操作。连续14 d后成功制备肾结石模型。
评价指标:体重变化及存活率、生化检测及肾体比、病理染色
Test and verify
体重变化及存活率
血清生化检测及肾体比
肾组织HE染色
肾组织Von-Kossa's染色