Position:Home >
椎板缺损构建椎板切除术模型
椎板缺损构建椎板切除术模型
Background
腰椎板切除术是脊柱外科中常用的手术方式之一。但在椎板切除术后,椎板切除区域形成大量的纤维瘢痕组织,与硬膜囊和神经根广泛粘连,压迫硬膜囊或者牵拉神经根,引起患者疼痛症状的复发,严重影响手术的长期效果,是发生下腰椎手术后失败综合征的重要原因。虽然可以通过再次手术松解硬膜外瘢痕粘连来降低的发生,但是再手术后周时,瘢痕粘连可能会再次发生,具有概率高、程度更严重等特点, 以及再次手术存在硬膜囊撕裂、脑脊液漏等并发症,这些因素均大大降低了再次手术的成功率。因此预防腰椎板切除术后瘢痕粘连的形成,对降低的发生率、提高下腰椎 手术的成功率具有重要的临床意义。
Materials and methods
SD大鼠(雄性,260-300 g)
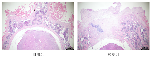
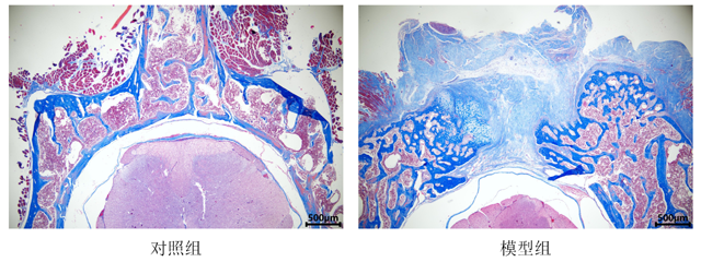
造模方法:暴露 L1椎板,咬除椎板,造成椎板缺损,避免咬破硬脊膜,损伤脊髓及神经根。术后4周成功构建椎板切除术模型。
评价指标:椎体大体观察、粘连评分、ELISA检测、HE染色、Masson染色
造模方法:暴露 L1椎板,咬除椎板,造成椎板缺损,避免咬破硬脊膜,损伤脊髓及神经根。术后4周成功构建椎板切除术模型。
评价指标:椎体大体观察、粘连评分、ELISA检测、HE染色、Masson染色
Test and verify
椎体大体观察

粘连评分及血清ELISA检测

椎体组织HE染色

椎体组织Masson染色
