Position:Home >
异硫氰酸荧光素(FITC)诱导特应性皮炎模型
异硫氰酸荧光素(FITC)诱导特应性皮炎模型
Background
FITC能在小鼠体内诱发以Th2 偏移为主的变应性反应,相关对比实验通过FITC 或 DNFB 诱导的变应性皮炎模型发现 BALB/c
小鼠比 C57/B6能引发更显著的 Th2或 Th1反应。在此类迟发型变态反应中,出现明显的淋巴细胞浸润和嗜酸性粒细胞、中性白细胞和巨噬细胞的聚集,但肥大细胞和 IgE 的变化却不明显,此模型可用于检测作用于 Th2细胞而发挥抗炎作用的药物。
Materials and methods
Balb/c小鼠(雌性,6周龄)
造模方法:第0、1、2天在腹部涂抹异硫氰酸荧光素(FITC);第7天,用 FITC溶液对小鼠右耳进行攻击。每周重复一次耳部再激发,持续4周,成功制备特应性皮炎模型。
评价指标:大体观察、耳重测定、ELISA及生化检测、HE染色
造模方法:第0、1、2天在腹部涂抹异硫氰酸荧光素(FITC);第7天,用 FITC溶液对小鼠右耳进行攻击。每周重复一次耳部再激发,持续4周,成功制备特应性皮炎模型。
评价指标:大体观察、耳重测定、ELISA及生化检测、HE染色
Test and verify
耳片大体观察及耳重测定

血清ELISA及淋巴结生化检测

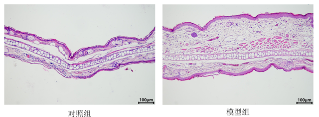
皮肤组织HE染色
