Position:Home >
3-硝基丙酸诱导肌张力障碍模型
3-硝基丙酸诱导肌张力障碍模型
Background
节菱孢属真菌作为污染源产生3-硝基丙酸(3-NPA),作为一种强效的神经毒素它能干扰线粒体的呼吸作用。虽然典型的急性3-NPA中毒表现为严重的胃肠道反应,但随后便出现中枢神经系统的症状,比如惊厥和昏迷。25%的青年患者清醒后不久会出现局部或全身肌张力障碍,发作呈阵发性或是慢性。随后就出现了给动物注射3-NPA来建立肌张力障碍模型。
给啮齿类动物外周组织注射3-NPA后会选择性的损伤纹状体的功能,并且会出现类似于人类中毒后出现的运动障碍。大鼠和小鼠延缓出现的肌张力障碍的主要特征是躯干和四肢的肌张力障碍,并且严重程度与纹状体损伤的范围相关。此外,大鼠对3-NPA毒性的反应也是受年龄影响的,幼小的大鼠更容易患有肌张力障碍。这种运动障碍起始于停止注射3-NPA几星期后,并且病情不断进展直到出现全身性的症状。
Materials and methods
SD大鼠(雄性,250 g)
造模方法:暴露颅骨,在左侧尾壳核上方钻开颅骨,将3-硝基丙酸注入大鼠尾壳核。术后7天成功制备肌张力障碍模型。
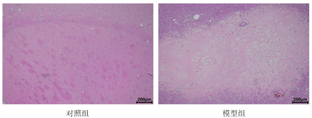
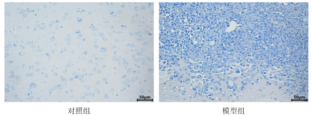
评价指标:行为学测定、生化检测、HE染色、尼氏染色
造模方法:暴露颅骨,在左侧尾壳核上方钻开颅骨,将3-硝基丙酸注入大鼠尾壳核。术后7天成功制备肌张力障碍模型。
评价指标:行为学测定、生化检测、HE染色、尼氏染色
Test and verify
行为学测定及脑组织生化检测

脑组织HE染色

脑组织尼氏染色
