Position:Home >
母子分离、TNBS灌肠联合慢性束缚应激诱导肠易激综合征模型
母子分离、TNBS灌肠联合慢性束缚应激诱导肠易激综合征模型
Background
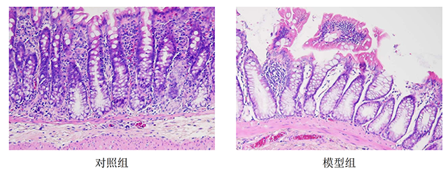
早起母婴分离会导致成年后抑郁、内脏敏感性增加;TNBS化学刺激造成的黏膜炎症恢复后相当长时间内能够很好地模拟内脏高敏感、肠道动力改变、肠道屏障功能异常的特点,且病理表现符合IBS黏膜病理表现;束缚等慢性精神因素刺激可导致胃肠运动紊乱及内脏敏感性增高,胃排空延迟及结肠运转加快是其胃肠功能紊乱的共同特征。三者联合造模可以很好地模拟IBS模型的病理状态。
Materials and methods
SD幼鼠(雄性,3日龄)
造模方法:每天进行母子分离直至20日龄;之后TNBS灌肠;2周后每天进行束缚,连续3周后成功制备肠易激综合征模型。
评价指标:病理评分、HE染色
造模方法:每天进行母子分离直至20日龄;之后TNBS灌肠;2周后每天进行束缚,连续3周后成功制备肠易激综合征模型。
评价指标:病理评分、HE染色
Test and verify
病理评分

结肠组织HE染色
