Position:Home >
咪喹莫特诱导银屑病模型(Balb/c小鼠)
咪喹莫特诱导银屑病模型(Balb/c小鼠)
Background
1、模型的定义:银屑病(psoriasis)是皮肤科常见的慢性炎症性自身免疫性疾病,确切的发病机制尚不明确。银屑病尚无有效的治疗方法,缺乏理想的动物模型是制约深入研究该病的重要原因。构建理想的银屑病动物模型是银屑病发病机制和开展药物治疗研究的关键,银屑病是一种常见的慢性、复发性、炎症性皮肤病,属于多基因遗传性疾病,且受环境因素影响。具有特征性红色丘疹、斑块及银白色鳞屑,顽固难治,频繁复发,罹患终身等特点。咪喹莫特(IMQ)诱导银屑病是应用较多也较为成熟的一种方法。IMQ是Toll样受体(TLR)7/8的激动剂,临床研究结果表明该药可诱发人类银屑病。IMQ诱导的银屑病小鼠模型再现了人类银屑病的典型临床症状及病理特征,是研究银屑病可行的动物模型。
2、模型应用方向::皮肤科相关课题。
3、实验动物(品系、周龄、性别):大鼠品系:SD、Wistar;小鼠品系:C57BL/6、BALB/c;周龄:6-8周;性别不限。
4、造模方法简介:麻醉后,用电动理发器小心刮除小鼠背部中央区域被毛,形成2cm×3cm大小的暴露区域,再使用温和型脱毛膏脱去表面毳毛。涂药造模(第0天-第7天)脱毛第二天始每日在
Materials and methods
Balb/c小鼠(雌雄不限,6-8周龄)
造模方法:背部涂抹咪喹莫特软膏每天1次,连续7天,成功制备银屑病模型。
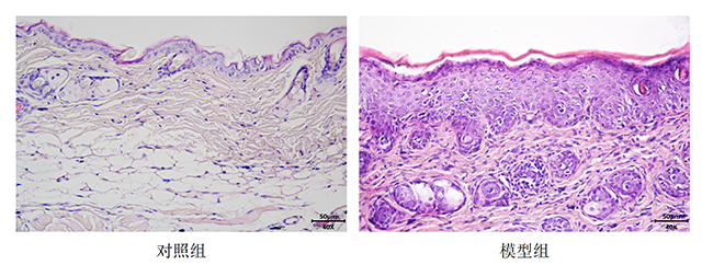
评价指标:PASI表观评分及Baker病理评分、HE染色、ELISA检测
造模方法:背部涂抹咪喹莫特软膏每天1次,连续7天,成功制备银屑病模型。
评价指标:PASI表观评分及Baker病理评分、HE染色、ELISA检测
Test and verify
PASI表观评分及Baker评分

皮肤组织HE染色

ELISA检测
